中文名稱(chēng): 兔抗ADCYAP1R1多克隆抗體
|
Background: |
This gene encodes type I adenylate cyclase activating polypeptide receptor, which is a membrane-associated protein and shares significant homology with members of the glucagon/secretin receptor family. This receptor mediates diverse biological actions of adenylate cyclase activating polypeptide 1 and is positively coupled to adenylate cyclase. Multiple alternatively spliced transcript variants encoding distinct isoforms have been identified. |
|
Applications: |
ELISA, WB, IHC |
|
Name of antibody: |
ADCYAP1R1 |
|
Immunogen: |
Synthetic peptide of human ADCYAP1R1 |
|
Full name: |
Adenylate cyclase activating polypeptide 1 (pituitary) receptor type I |
|
Synonyms: |
PAC1, PAC1R, PACAPR, PACAPRI |
|
SwissProt: |
P41586 |
|
ELISA Recommended dilution: |
2000-10000 |
|
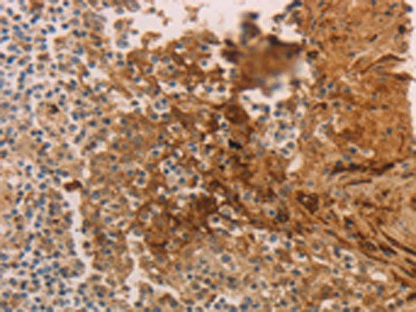
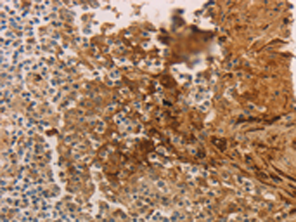
IHC positive control: |
Human tonsil and Human breast cancer |
|
IHC Recommend dilution: |
50-200 |
|
WB Predicted band size: |
57 kDa |
|
WB Positive control: |
Hela cells, Mouse stomach and brain tissue |
|
WB Recommended dilution: |
1000-5000 |
購(gòu)物車(chē)
幫助
021-54845833/15800441009
