Background:
This gene belongs to the subfamily of ubiquitously expressed heterogeneous nuclear ribonucleoproteins (hnRNPs). The hnRNPs are RNA binding proteins and they complex with heterogeneous nuclear RNA (hnRNA). These proteins are associated with pre-mRNAs in the nucleus and appear to influence pre-mRNA processing and other aspects of mRNA metabolism and transport. While all of the hnRNPs are present in the nucleus some seem to shuttle between the nucleus and the cytoplasm. The hnRNP proteins have distinct nucleic acid binding properties. The protein encoded by this gene has three repeats of quasi-RRM domains that binds to RNAs. It is very similar to the family member HNRPH1. This gene is thought to be involved in Fabray disease and X-linked agammaglobulinemia phenotype. Alternative splicing results in multiple transcript variants encoding the same protein. Read-through transcription between this locus and the ribosomal protein L36a gene has been observed.
Applications:
ELISA, WB, IHC
Name of antibody:
HNRNPH2
Immunogen:
Fusion protein of human HNRNPH2
Full name:
heterogeneous nuclear ribonucleoprotein H2 (H')
Synonyms:
FTP3; HNRPH'; HNRPH2; hnRNPH'
SwissProt:
P55795
ELISA Recommended dilution:
5000-10000
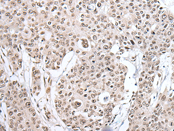
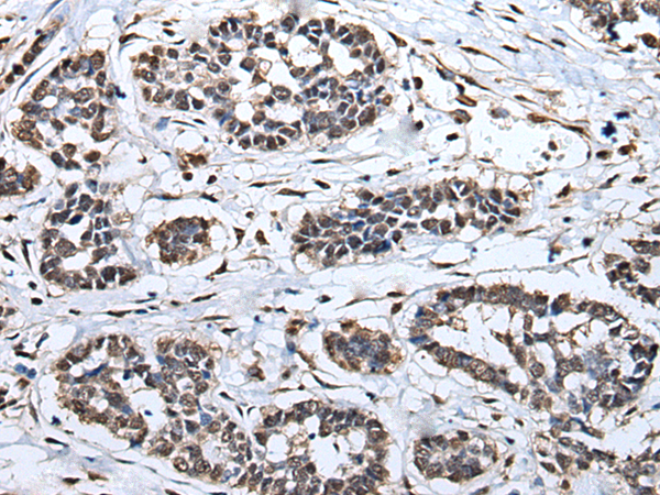
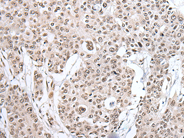
IHC positive control:
Human esophagus cancer and human liver cancer
IHC Recommend dilution:
25-100
WB Predicted band size:
49 kDa
WB Positive control:
293T,231 and K562 cell lysates
WB Recommended dilution:
200-1000
技術規格






購物車
幫助
021-54845833/15800441009
