中文名稱 : 兔抗MAP2多克隆抗體
英文名稱 : Anti-MAP2 rabbit polyclonal antibody
別 名 : MAP2A; MAP2B; MAP2C
儲 存 : 冷凍(-20℃)
抗 原 : MAP2
宿 主 : Rabbit
反應種屬 : Human, Mouse, Rat
相關類別 : 一抗
標 記 物 : Unconjugate
克隆類型 : rabbit polyclonal
技術規格
|
Background: |
This gene encodes a protein that belongs to the microtubule-associated protein family. The proteins of this family are thought to be involved in microtubule assembly, which is an essential step in neurogenesis. The products of similar genes in rat and mouse are neuron-specific cytoskeletal proteins that are enriched in dentrites, implicating a role in determining and stabilizing dentritic shape during neuron development. A number of alternatively spliced variants encoding distinct isoforms have been described. |
|
Applications: |
ELISA, WB, IHC |
|
Name of antibody: |
MAP2 |
|
Immunogen: |
Fusion protein of human MAP2 |
|
Full name: |
microtubule associated protein 2 |
|
Synonyms: |
MAP-2; MAP2A; MAP2B; MAP2C |
|
SwissProt: |
P11137 |
|
ELISA Recommended dilution: |
5000-10000 |
|
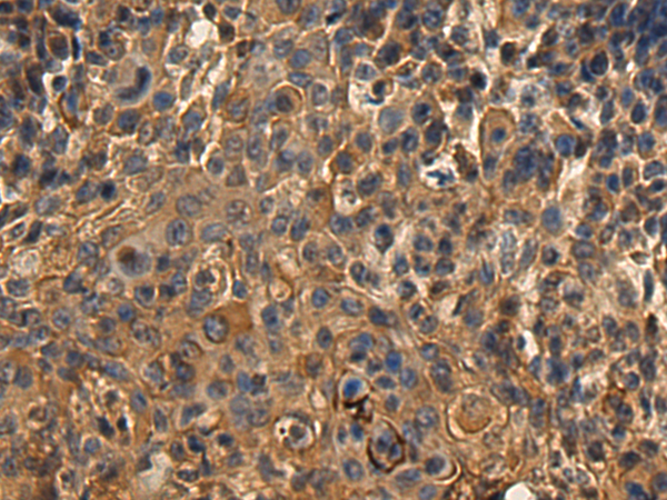
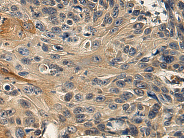
IHC positive control: |
Human thyroid cancer and Human esophagus cancer |
|
IHC Recommend dilution: |
100-300 |
|
WB Predicted band size: |
200 kDa |
|
WB Positive control: |
Mouse brain tissue lysate |
|
WB Recommended dilution: |
1000-5000 |
購物車
幫助
021-54845833/15800441009
