|
Background: |
Transcriptional modulator activated by TGF-beta and activin type 1 receptor kinase. SMAD2 is a receptor-regulated SMAD (R-SMAD). May act as a tumor suppressor in colorectal carcinoma. |
|
Applications: |
WB, IHC |
|
Name of antibody: |
SMAD2 |
|
Immunogen: |
Synthetic peptide of human SMAD2 (Ab-220) |
|
Full name: |
SMAD family member 2 |
|
Synonyms: |
JV18; MADH2; MADR2; JV18-1; hMAD-2; hSMAD2 |
|
SwissProt: |
Q15796 |
|
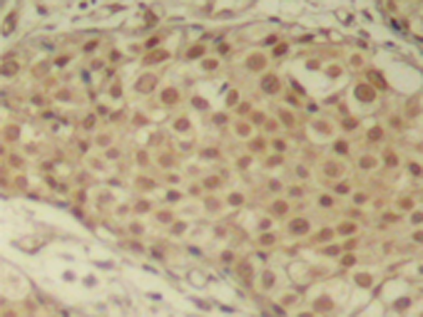
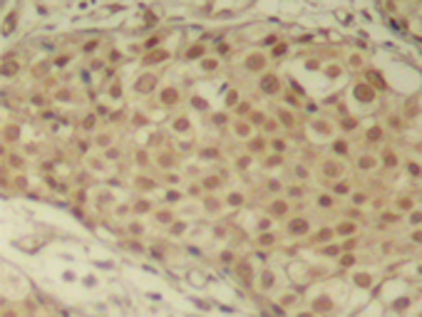
IHC positive control: |
Human breast carcinoma |
|
IHC Recommend dilution: |
50-100 |
|
WB Predicted band size: |
52 kDa |
|
WB Positive control: |
293 and NIH/3T3 cells |
|
WB Recommended dilution: |
500-1000 |
購物車
幫助
021-54845833/15800441009
