中文名稱: 兔抗ACSL4多克隆抗體
|
Background: |
The protein encoded by this gene is an isozyme of the long-chain fatty-acid-coenzyme A ligase family. Although differing in substrate specificity, subcellular localization, and tissue distribution, all isozymes of this family convert free long-chain fatty acids into fatty acyl-CoA esters, and thereby play a key role in lipid biosynthesis and fatty acid degradation. This isozyme preferentially utilizes arachidonate as substrate. The absence of this enzyme may contribute to the mental retardation or Alport syndrome. Alternative splicing of this gene generates 2 transcript variants. |
|
Applications: |
ELISA, WB, IHC |
|
Name of antibody: |
ACSL4 |
|
Immunogen: |
Fusion protein of human ACSL4 |
|
Full name: |
acyl-CoA synthetase long-chain family member 4 |
|
Synonyms: |
ACS4; FACL4; LACS4; MRX63; MRX68 |
|
SwissProt: |
O60488 |
|
ELISA Recommended dilution: |
2000-5000 |
|
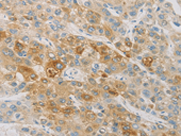
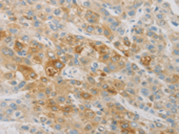
IHC positive control: |
Human liver cancer |
|
IHC Recommend dilution: |
25-100 |
|
WB Predicted band size: |
79 kDa |
|
WB Positive control: |
Hepg2, hela and 293T cells, human fetal kidney tissue |
|
WB Recommended dilution: |
500-2000 |
購物車
幫助
021-54845833/15800441009
