技術規格
Background:
This gene encodes a member of voltage-gated potassium channels. Members of this family have diverse functions, including regulating neurotransmitter and hormone release, cardiac function, and cell volume. This protein is an outward-rectifying, noninactivating channel. Alternative splicing results in multiple transcript variants.
Applications:
ELISA, IHC
Name of antibody:
KCNH5
Immunogen:
Synthetic peptide of human KCNH5
Full name:
potassium voltage-gated channel subfamily H member 5
Synonyms:
EAG2; hEAG2; H-EAG2; Kv10.2
SwissProt:
Q8NCM2
ELISA Recommended dilution:
5000-10000
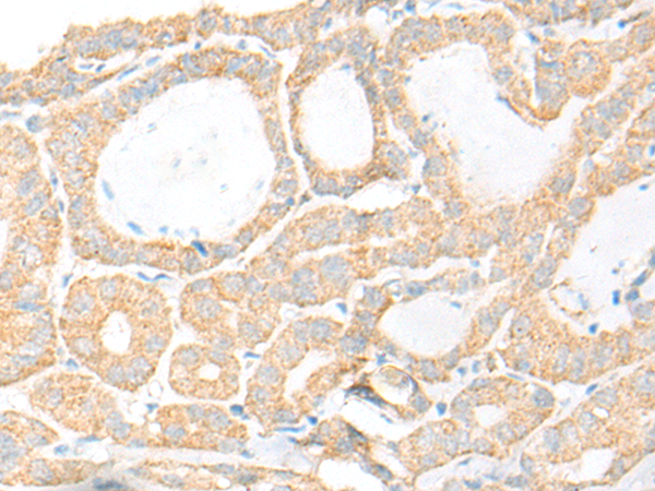
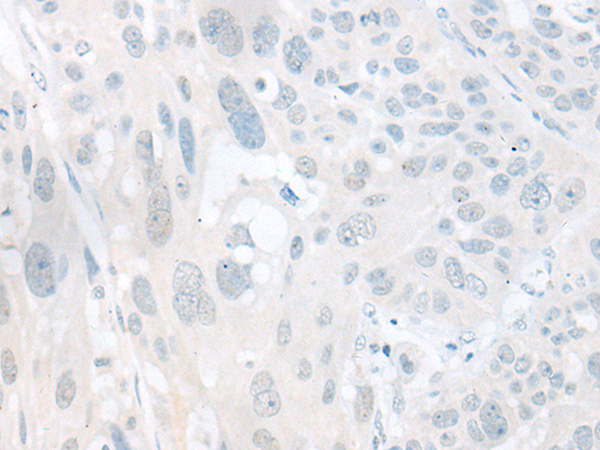
IHC positive control:
Human thyroid cancer; Human esophagus cancer
IHC Recommend dilution:
20-100


購物車
幫助
021-54845833/15800441009
