中文名稱:兔抗CEP97多克隆抗體
英文名稱: Anti-CEP97 rabbit polyclonal antibody
別 名: LRRIQ2; 2810403B08Rik
相關類別: 一抗
抗 原: CEP97
儲 存: 冷凍(-20℃)
反應種屬: Human
標 記 物: Unconjugate
克隆類型: rabbit polyclonal
技術規格
|
Background: |
Centrosomal protein of 97 kDa (Cep97), also known as leucine-rich repeat and IQ domain-containing protein 2 (LRRIQ2), is a protein that in humans is encoded by the CEP97 gene. Acts as a key negative regulator of ciliogenesis in collaboration with CCP110 by capping the mother centriole thereby preventing cilia formation. Required for recruitment of CCP110 to the centrosome. Interacts with CALM1, CEP76 and CCP110. Via its interaction with CCP110, may indirectly interact with HERC2 and NEURL4. Interacts with KIF24. |
|
Applications: |
ELISA, WB, IHC |
|
Name of antibody: |
CEP97 |
|
Immunogen: |
Fusion protein of human CEP97 |
|
Full name: |
centrosomal protein 97kDa |
|
Synonyms: |
LRRIQ2; 2810403B08Rik |
|
SwissProt: |
Q8IW35 |
|
ELISA Recommended dilution: |
2000-5000 |
|
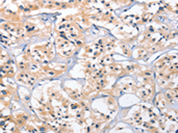
IHC positive control: |
Human thyroid cancer and Human esophagus cancer |
|
IHC Recommend dilution: |
25-100 |
|
WB Predicted band size: |
97 kDa |
|
WB Positive control: |
293T, hela, PC3, lovo and A172 cells |
|
WB Recommended dilution: |
500-2000 |


購物車
幫助
021-54845833/15800441009
