中文名稱:兔抗CLK2多克隆抗體
|
Background: |
This gene encodes a dual specificity protein kinase that phosphorylates serine/threonine and tyrosine-containing substrates. Activity of this protein regulates serine- and arginine-rich (SR) proteins of the spliceosomal complex, thereby influencing alternative transcript splicing. Chromosomal translocations have been characterized between this locus and the PAFAH1B3 (platelet-activating factor acetylhydrolase 1b, catalytic subunit 3 (29kDa)) gene on chromosome 19, resulting in the production of a fusion protein. Note that this gene is distinct from the TELO2 gene (GeneID:9894), which shares the CLK2 alias, but encodes a protein that is involved in telomere length regulation. There is a pseudogene for this gene on chromosome 7. Alternative splicing results in multiple transcript variants. |
|
Applications: |
ELISA, IHC |
|
Name of antibody: |
CLK2 |
|
Immunogen: |
Synthetic peptide of human CLK2 |
|
Full name: |
CDC like kinase 2 |
|
SwissProt: |
P49760 |
|
ELISA Recommended dilution: |
5000-10000 |
|
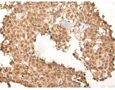
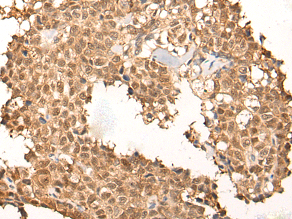
IHC positive control: |
Human thyroid cancer and human ovarian cancer |
|
IHC Recommend dilution: |
30-150 |

購物車
幫助
021-54845833/15800441009
