中文名稱:兔抗SERPINB9多克隆抗體
英文名稱: Anti-SERPINB9 rabbit polyclonal antibody
別 名: PI9; CAP3; PI-9; CAP-3
相關類別: 一抗
儲 存: 冷凍(-20℃) 避光
宿 主: Rabbit
抗 原: SERPINB9
反應種屬: Human
標記物: Unconjugate
克隆類型: Unconjugate
技術規格
|
Background: |
This gene encodes a member of the serine protease inhibitor family which are also known as serpins. The encoded protein belongs to a subfamily of intracellular serpins. This protein inhibits the activity of the effector molecule granzyme B. Overexpression of this protein may prevent cytotoxic T-lymphocytes from eliminating certain tumor cells. A pseudogene of this gene is found on chromosome 6. |
|
Applications: |
WB, IHC |
|
Name of antibody: |
SERPINB9 |
|
Immunogen: |
Synthesized peptide derived from internal of human SERPINB9. |
|
Full name: |
serpin peptidase inhibitor, clade B (ovalbumin), member 9 |
|
Synonyms: |
PI9; CAP3; PI-9; CAP-3 |
|
SwissProt: |
P50453 |
|
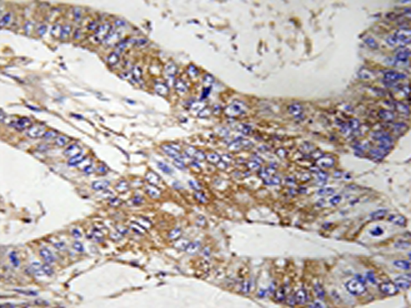
IHC positive control: |
Human colon carcinoma tissue |
|
IHC Recommend dilution: |
50-100 |
|
WB Predicted band size: |
42 kDa |
|
WB Positive control: |
Jurkat cells lysate |
|
WB Recommended dilution: |
500-3000 |


購物車
幫助
021-54845833/15800441009
