中文名稱: 兔抗NABP1多克隆抗體
英文名稱: Anti-NABP1 rabbit polyclonal antibody
別 名: nucleic acid binding protein 1; SSB2; OBFC2A; SOSS-B2
相關類別: 一抗
儲 存: 冷凍(-20℃)
抗 原: NABP1
宿 主: Rabbit
反應種屬: Human, Mouse, Rat
標 記 物: Unconjugate
克隆類型: rabbit polyclonal
技術規格
|
Background: |
Single-stranded DNA (ssDNA)-binding proteins, such as OBFC2A, are ubiquitous and essential for a variety of DNA metabolic processes, including replication, recombination, and detection and repair of damage (Richard et al., 2008 [PubMed 18449195]). |
|
Applications: |
ELISA, WB, IHC |
|
Name of antibody: |
NABP1 |
|
Immunogen: |
Fusion protein of human NABP1 |
|
Full name: |
nucleic acid binding protein 1 |
|
Synonyms: |
SSB2; OBFC2A; SOSS-B2 |
|
SwissProt: |
Q96AH0 |
|
ELISA Recommended dilution: |
5000-10000 |
|
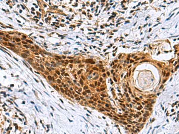
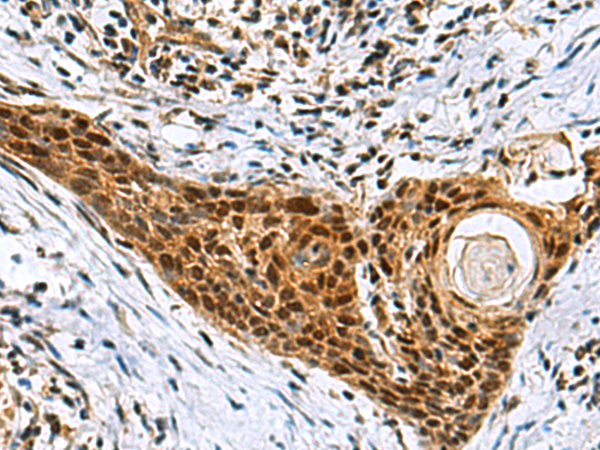
IHC positive control: |
Human esophagus cancer |
|
IHC Recommend dilution: |
50-200 |
|
WB Predicted band size: |
22 kDa |
|
WB Positive control: |
Jurkat cell, Mouse liver tissue lysates |
|
WB Recommended dilution: |
500-2000 |


購物車
幫助
021-54845833/15800441009
