中文名稱: 兔抗MED6多克隆抗體
英文名稱: Anti-MED6 rabbit polyclonal antibody
別 名: ARC33; NY-REN-28
相關類別: 一抗
儲 存: 冷凍(-20℃)
宿 主: Rabbit
抗 原: MED6
反應種屬: Human, Mouse
標 記 物: Unconjugate
克隆類型: rabbit polyclonal
技術規格
|
Background: |
Mediator of RNA polymerase II transcription subunit 6 is one of the subunits of the Mediator complex. It is an enzyme that in humans is encoded by the MED6 gene. Component of the Mediator complex, a coactivator involved in the regulated transcription of nearly all RNA polymerase II-dependent genes. Mediator functions as a bridge to convey information from gene-specific regulatory proteins to the basal RNA polymerase II transcription machinery. |
|
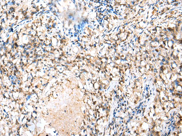
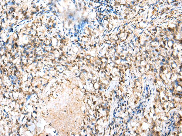
Applications: |
ELISA, WB, IHC |
|
Name of antibody: |
MED6 |
|
Immunogen: |
Full length fusion protein |
|
Full name: |
mediator complex subunit 6 |
|
Synonyms: |
ARC33; NY-REN-28 |
|
SwissProt: |
O75586 |
|
ELISA Recommended dilution: |
5000-10000 |
|
IHC positive control: |
Human liver cancer and human lung cancer |
|
IHC Recommend dilution: |
25-100 |
|
WB Predicted band size: |
28 kDa |
|
WB Positive control: |
Hela cell |
|
WB Recommended dilution: |
200-1000 |



購物車
幫助
021-54845833/15800441009
