中文名稱: 兔抗MGME1多克隆抗體
英文名稱: Anti-MGME1 rabbit polyclonal antibody
別 名: mitochondrial genome maintenance exonuclease 1; DDK1; MTDPS11; C20orf72; bA504H3.4
相關類別: 一抗
儲 存: 冷凍(-20℃)
宿 主: Rabbit
抗 原: MGME1
反應種屬: Human
標 記 物: Unconjugate
克隆類型: rabbit polyclonal
技術規格
|
Background: |
The protein encoded by this gene is a nuclear-encoded mitochondrial protein necessary for the maintenance of mitochondrial genome synthesis. The encoded protein is a RecB-type exonuclease and primarily cleaves single-stranded DNA. Defects in this gene have been associated with mitochondrial DNA depletion syndrome-11. Three transcript variants encoding different isoforms have been found for this gene. |
|
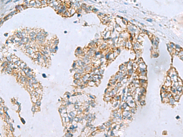
Applications: |
ELISA, IHC |
|
Name of antibody: |
MGME1 |
|
Immunogen: |
Fusion protein of human MGME1 |
|
Full name: |
mitochondrial genome maintenance exonuclease 1 |
|
Synonyms: |
DDK1; MTDPS11; C20orf72; bA504H3.4 |
|
SwissProt: |
Q9BQP7 |
|
ELISA Recommended dilution: |
5000-10000 |
|
IHC positive control: |
Human gastric cancer |
|
IHC Recommend dilution: |
50-200 |

購物車
幫助
021-54845833/15800441009
