中文名稱: 兔抗RTCB多克隆抗體
英文名稱: Anti-RTCB rabbit polyclonal antibody
別 名: RNA 2',3'-cyclic phosphate and 5'-OH ligase; FAAP; HSPC117; C22orf28; DJ149A16.6
相關類別: 一抗
抗 原: RTCB
儲 存: 冷凍(-20℃)
宿 主: Rabbit
反應種屬: Human, Mouse, Rat
標 記 物: Unconjugate
克隆類型: rabbit polyclonal
技術規格
|
Background: |
Catalytic subunit of the tRNA-splicing ligase complex that acts by directly joining spliced tRNA halves to mature-sized tRNAs by incorporating the precursor-derived splice junction phosphate into the mature tRNA as a canonical 3',5'-phosphodiester. May act as an RNA ligase with broad substrate specificity, and may function toward other RNAs. |
|
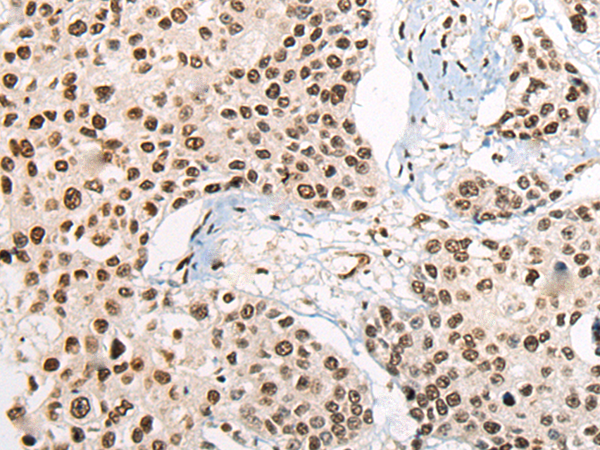
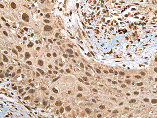
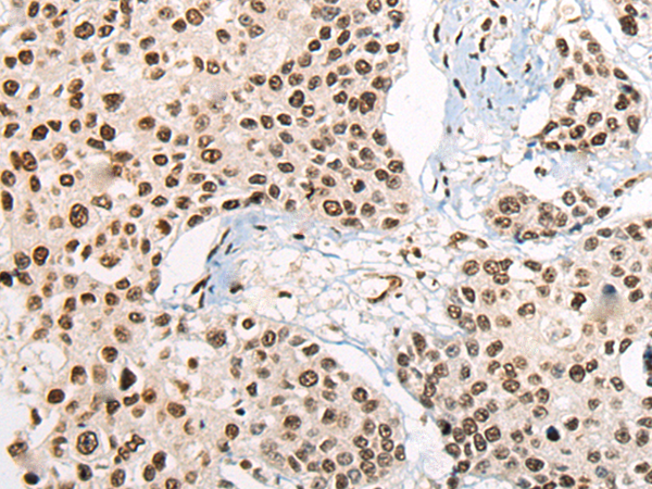
Applications: |
ELISA, IHC |
|
Name of antibody: |
RTCB |
|
Immunogen: |
Fusion protein of human RTCB |
|
Full name: |
RNA 2',3'-cyclic phosphate and 5'-OH ligase |
|
Synonyms: |
FAAP; HSPC117; C22orf28; DJ149A16.6 |
|
SwissProt: |
Q9Y3I0 |
|
ELISA Recommended dilution: |
5000-10000 |
|
IHC positive control: |
Human lung cancer and human prostate cancer |
|
IHC Recommend dilution: |
40-200 |


購物車
幫助
021-54845833/15800441009
