中文名稱: 兔抗NF1多克隆抗體
英文名稱: Anti-NF1 rabbit polyclonal antibody
級 別: WSS; NFNS; VRNF
儲 存: 冷凍(-20℃)
抗 原: NF1
宿 主: Rabbit
相關類別: 一抗
反應種屬: Human, Mouse, Rat
標 記 物: Unconjugate
克隆類型: rabbit polyclonal
技術規格
|
Background: |
This gene product appears to function as a negative regulator of the ras signal transduction pathway. Mutations in this gene have been linked to neurofibromatosis type 1, juvenile myelomonocytic leukemia and Watson syndrome. The mRNA for this gene is subject to RNA editing (CGA>UGA->Arg1306Term) resulting in premature translation termination. Alternatively spliced transcript variants encoding different isoforms have also been described for this gene. |
|
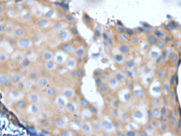
Applications: |
ELISA, IHC |
|
Name of antibody: |
NF1 |
|
Immunogen: |
Synthetic peptide of human NF1 |
|
Full name: |
neurofibromin 1 |
|
Synonyms: |
WSS; NFNS; VRNF |
|
SwissProt: |
P21359 |
|
ELISA Recommended dilution: |
500-1000 |
|
IHC positive control: |
Human liver cancer and human gastric cancer |
|
IHC Recommend dilution: |
40-250 |


購物車
幫助
021-54845833/15800441009
