中文名稱: 兔抗SCRN2多克隆抗體
英文名稱: Anti-SCRN2 rabbit polyclonal antibody
別 名: secernin 2; Ses2
相關類別: 一抗
儲 存: 冷凍(-20℃)
宿 主: Rabbit
抗 原: SCRN2
反應種屬: Human, Mouse, Rat
標 記 物: Unconjugate
克隆類型: rabbit polyclonal
Background:
SCRN genes encode protein members of the secernin family including Secernin 1, Secernin 2 and Secernin 3. Function of Secernin 2 and Secernin 3 are so far not well understood. Secernin 1 is a novel 50-kDa cytosolic protein that appears to be involved in the regulation of exocytosis from peritoneal mast cells. Secernin-1 a novel tumor-associated antigen (TAA) and may be a universal marker of different cancer types including gastric cancer, which has been validated by several researches. Measurement of SCRN1 can be used in the early detection of cancer or in the surveillance of patients who undergo surgery.
Applications:
ELISA, WB, IHC
Name of antibody:
SCRN2
Immunogen:
Fusion protein of human SCRN2
Full name:
secernin 2
Synonyms:
Ses2
SwissProt:
Q96FV2
ELISA Recommended dilution:
5000-10000
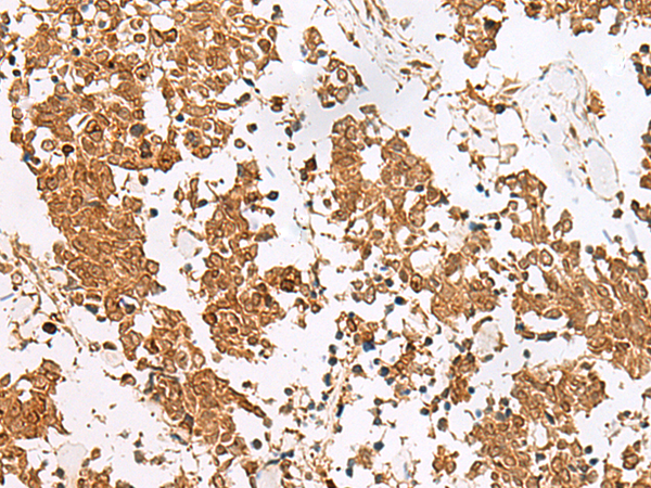
IHC positive control:
Human esophagus cancer and Human tonsil
IHC Recommend dilution:
50-300
WB Predicted band size:
47 kDa
WB Positive control:
Mouse small intestines tissue lysate
WB Recommended dilution:
500-2000
技術規格


購物車
幫助
021-54845833/15800441009
