中文名稱: 兔抗SELL多克隆抗體
英文名稱: Anti-SELL rabbit polyclonal antibody
別 名: selectin L; TQ1; LAM1; LEU8; LNHR; LSEL; CD62L; LYAM1; PLNHR; LECAM1
抗 原: SELL
儲 存: 冷凍(-20℃)
宿 主: Rabbit
相關類別: 一抗
反應種屬: Human
標 記 物: Unconjugate
克隆類型: rabbit polyclonal
技術規格
|
Background: |
This gene encodes a cell surface adhesion molecule that belongs to a family of adhesion/homing receptors. The encoded protein contains a C-type lectin-like domain, a calcium-binding epidermal growth factor-like domain, and two short complement-like repeats. The gene product is required for binding and subsequent rolling of leucocytes on endothelial cells, facilitating their migration into secondary lymphoid organs and inflammation sites. Single-nucleotide polymorphisms in this gene have been associated with various diseases including immunoglobulin A nephropathy. Alternatively spliced transcript variants have been found for this gene. |
|
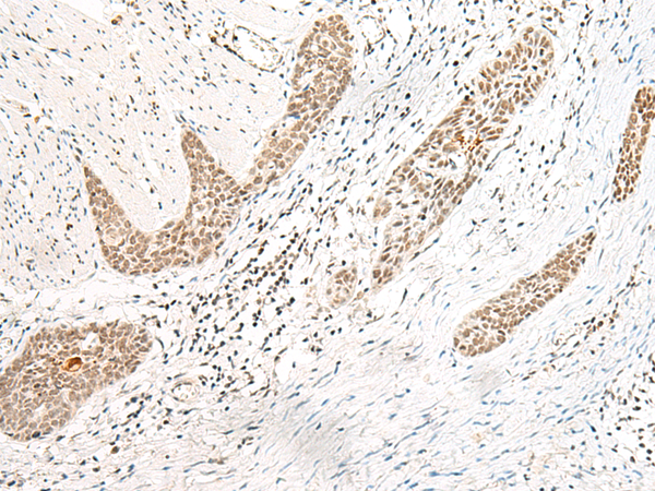
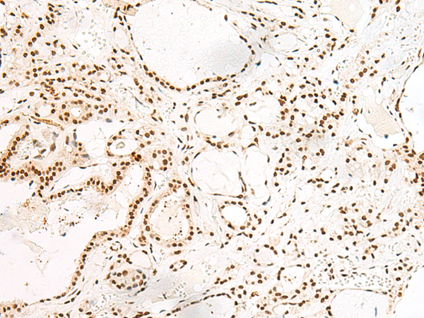
Applications: |
ELISA, IHC |
|
Name of antibody: |
SELL |
|
Immunogen: |
Synthetic peptide of human SELL |
|
Full name: |
selectin L |
|
Synonyms: |
TQ1; LAM1; LEU8; LNHR; LSEL; CD62L; LYAM1; PLNHR; LECAM1 |
|
SwissProt: |
P14151 |
|
ELISA Recommended dilution: |
5000-10000 |
|
IHC positive control: |
Human esophagus cancer and Human thyroid cancer |
|
IHC Recommend dilution: |
20-100 |

購物車
幫助
021-54845833/15800441009
