中文名稱: 兔抗NOTCH2多克隆抗體
英文名稱: Anti-NOTCH2 rabbit polyclonal antibody
別 名: hN2, AGS2, HJCYS
相關類別: 一抗
儲 存: 冷凍(-20℃)
宿 主: Rabbit
克隆類型: rabbit polyclonal
抗 原: NOTCH2
反應種屬: Human, Mouse, Rat
標 記 物: Unconjugate
技術規格
|
Background: |
This gene encodes a member of the Notch family. Members of this Type 1 transmembrane protein family share structural characteristics including an extracellular domain consisting of multiple epidermal growth factor-like (EGF) repeats, and an intracellular domain consisting of multiple, different domain types. Notch family members play a role in a variety of developmental processes by controlling cell fate decisions. The Notch signaling network is an evolutionarily conserved intercellular signaling pathway which regulates interactions between physically adjacent cells. In Drosophilia, notch interaction with its cell-bound ligands (delta, serrate) establishes an intercellular signaling pathway that plays a key role in development. Homologues of the notch-ligands have also been identified in human, but precise interactions between these ligands and the human notch homologues remain to be determined. This protein is cleaved in the trans-Golgi network, and presented on the cell surface as a heterodimer. This protein functions as a receptor for membrane bound ligands, and may play a role in vascular, renal and hepatic development. Two transcript variants encoding different isoforms have been found for this gene. |
|
Applications: |
ELISA, WB, IHC |
|
Name of antibody: |
NOTCH2 |
|
Immunogen: |
Synthetic peptide of human NOTCH2 |
|
Full name: |
notch 2 |
|
Synonyms: |
hN2; AGS2; HJCYS |
|
SwissProt: |
Q04721 |
|
ELISA Recommended dilution: |
5000-10000 |
|
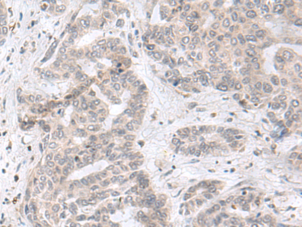
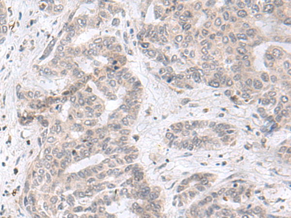
IHC positive control: |
Human colorectal cancer and Human ovarian cancer |
|
IHC Recommend dilution: |
40-200 |
|
WB Predicted band size: |
265 kDa |
|
WB Positive control: |
HepG2 cell lysate |
|
WB Recommended dilution: |
200-1000 |

購物車
幫助
021-54845833/15800441009
