英文名稱: Anti-ABCC8 rabbit polyclonal antibody
別 名: HI; SUR; HHF1; MRP8; PHHI; SUR1; ABC36; HRINS; TNDM2; SUR1delta2
相關類別: 一抗
儲 存: 冷凍(-20℃)
宿 主: Rabbit
抗 原: ABCC8
反應種屬: Human, Rat
標 記 物: Unconjugate
克隆類型: rabbit polyclonal
技術規格
|
Background: |
The protein encoded by this gene is a member of the superfamily of ATP-binding cassette (ABC) transporters. ABC proteins transport various molecules across extra- and intra-cellular membranes. ABC genes are divided into seven distinct subfamilies (ABC1, MDR/TAP, MRP, ALD, OABP, GCN20, White). This protein is a member of the MRP subfamily which is involved in multi-drug resistance. This protein functions as a modulator of ATP-sensitive potassium channels and insulin release. |
|
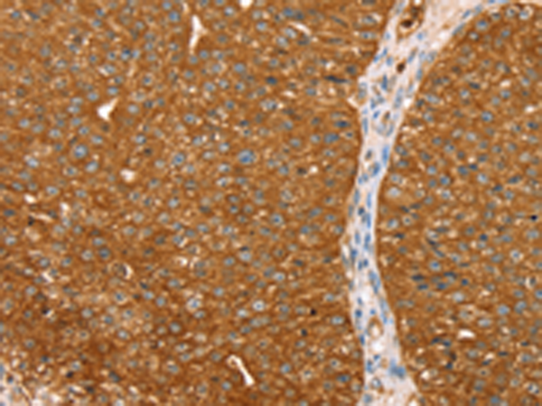
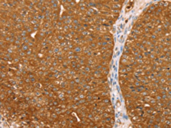
Applications: |
ELISA, IHC |
|
Name of antibody: |
ABCC8 |
|
Immunogen: |
Synthetic peptide of human ABCC8 |
|
Full name: |
ATP-binding cassette, sub-family C (CFTR/MRP), member 8 |
|
Synonyms: |
HI; SUR; HHF1; MRP8; PHHI; SUR1; ABC36; HRINS; TNDM2; SUR1delta2 |
|
SwissProt: |
Q09428 |
|
ELISA Recommended dilution: |
2000-5000 |
|
IHC positive control: |
Human breast cancer and Human esophagus cancer |
|
IHC Recommend dilution: |
35-150 |
購物車
幫助
021-54845833/15800441009
