|
Background: |
The protein encoded by this gene is a member of the STAT protein family. In response to cytokines and growth factors, STAT family members are phosphorylated by the receptor associated kinases, and then form homo- or heterodimers that translocate to the cell nucleus where they act as transcription activators. This protein can be activated by various ligands including interferon-alpha, interferon-gamma, EGF, PDGF and IL6. This protein mediates the expression of a variety of genes, which is thought to be important for cell viability in response to different cell stimuli and pathogens. Two alternatively spliced transcript variants encoding distinct isoforms have been described. |
|
Applications: |
ELISA, WB, IHC |
|
Name of antibody: |
STAT1 |
|
Immunogen: |
Fusion protein of human STAT1 |
|
Full name: |
Signal transducer and activator of transcription 1-alpha/beta |
|
Synonyms: |
ISGF-3, STAT91 |
|
SwissProt: |
P42224 |
|
ELISA Recommended dilution: |
500-2000 |
|
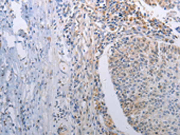
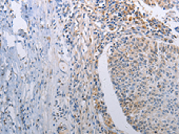
IHC positive control: |
Human lung cancer |
|
IHC Recommend dilution: |
15-60 |
|
WB Predicted band size: |
87 kDa |
|
WB Positive control: |
NIH/3T3 cells |
|
WB Recommended dilution: |
250-1000 |

購物車
幫助
021-54845833/15800441009
