|
Background: |
Acts as a tumor suppressor in many tumor types; induces growth arrest or apoptosis depending on the physiological circumstances and cell type. Involved in cell cycle regulation as a trans-activator that acts to negatively regulate cell division by controlling a set of genes required for this process. One of the activated genes is an inhibitor of cyclin-dependent kinases. Apoptosis induction seems to be mediated either by stimulation of BAX and FAS antigen expression, or by repression of Bcl-2 expression. Implicated in Notch signaling cross-over. |
|
Applications: |
WB, IHC, IF |
|
Name of antibody: |
TP53 (Phospho-Ser15) |
|
Immunogen: |
Synthetic peptide of human TP53 (Phospho-Ser15) |
|
Full name: |
tumor protein p53 (Phospho-Ser15) |
|
Synonyms: |
P53; BCC7; LFS1; TRP53 |
|
SwissProt: |
P04637 |
|
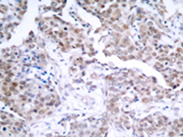
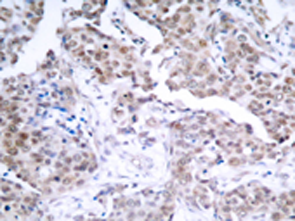
IHC positive control: |
Human breast carcinoma |
|
IHC Recommend dilution: |
50-100 |
|
WB Predicted band size: |
44 kDa |
|
WB Positive control: |
293 cells treated with UV |
|
WB Recommended dilution: |
500-1000 |
|
IF Positive control: |
Hela cells |
|
IF Recommended dilution |
100-200 |


購(gòu)物車(chē)
幫助
021-54845833/15800441009
