英文名稱: Anti-CDK5 rabbit polyclonal antibody
抗 原: CDK5
儲 存: 冷凍(-20℃)
宿 主: Rabbit
相關類別: 一抗
反應種屬: Human, Mouse, Rat
標 記 物: Unconjugate
克隆類型: rabbit polyclonal
技術規格
|
Background: |
Cyclin-dependent kinases (CDKs) are serine/threonine kinases that are activated by cyclins and govern eukaryotic cell cycle progression. While CDK5 shares high sequence homology with its family members, it is thought mainly to function in postmitotic neurons to regulate the cytoarchitecture of these cells. Analogous to cyclins, the regulatory subunits p35 and p39 associate with and activate CDK5 despite the lack of sequence homology. |
|
Applications: |
ELISA, WB, IHC |
|
Name of antibody: |
CDK5 |
|
Immunogen: |
Fusion protein of human CDK5 |
|
Full name: |
cyclin-dependent kinase 5 |
|
Synonyms: |
PSSALRE |
|
SwissProt: |
Q00535 |
|
ELISA Recommended dilution: |
2000-5000 |
|
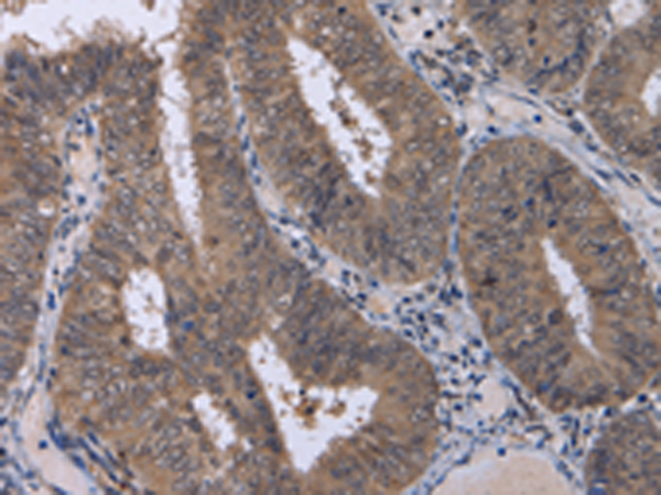
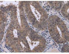
IHC positive control: |
Human colon cancer and human brain |
|
IHC Recommend dilution: |
25-100 |
|
WB Predicted band size: |
33 kDa |
|
WB Positive control: |
Jurkat and NIH/3T3 cells |
|
WB Recommended dilution: |
500-2000 |


購物車
幫助
021-54845833/15800441009
