中文名稱: 兔抗DEK多克隆抗體
|
Background: |
This gene encodes a protein with one SAP domain. This protein binds to cruciform and superhelical DNA and induces positive supercoils into closed circular DNA, and is also involved in splice site selection during mRNA processing. Chromosomal aberrations involving this region, increased expression of this gene, and the presence of antibodies against this protein are all associated with various diseases. Two transcript variants encoding different isoforms have been found for this gene. |
|
Applications: |
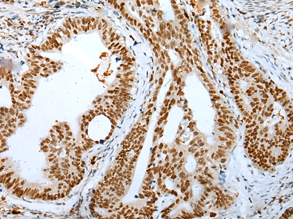
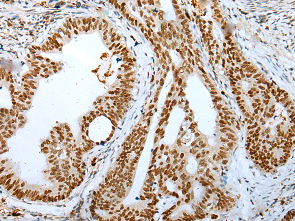
ELISA, IHC |
|
Name of antibody: |
DEK |
|
Immunogen: |
Synthetic peptide of human DEK |
|
Full name: |
DEK proto-oncogene |
|
Synonyms: |
D6S231E |
|
SwissProt: |
P35659 |
|
ELISA Recommended dilution: |
5000-10000 |
|
IHC positive control: |
Human gastric cancer |
|
IHC Recommend dilution: |
25-100 |
購物車
幫助
021-54845833/15800441009
