中文名稱:兔抗ATP6V1C1多克隆抗體
|
Background: |
This gene encodes a component of vacuolar ATPase (V-ATPase), a multisubunit enzyme that mediates acidification of intracellular compartments of eukaryotic cells. V-ATPase dependent acidification is necessary for such intracellular processes as protein sorting, zymogen activation, receptor-mediated endocytosis, and synaptic vesicle proton gradient generation. V-ATPase is composed of a cytosolic V1 domain and a transmembrane V0 domain. The V1 domain consists of three A and three B subunits, two G subunits plus the C, D, E, F, and H subunits. The V1 domain contains the ATP catalytic site. The V0 domain consists of five different subunits: a, c, c', c'', and d. Additional isoforms of many of the V1 and V0 subunit proteins are encoded by multiple genes or alternatively spliced transcript variants. This gene is one of two genes that encode the V1 domain C subunit proteins and is found ubiquitously. This C subunit is analogous but not homologous to gamma subunit of F-ATPases. Previously, this gene was designated ATP6D. |
|
Applications: |
ELISA, WB, IHC |
|
Name of antibody: |
ATP6V1C1 |
|
Immunogen: |
Fusion protein of human ATP6V1C1 |
|
Full name: |
ATPase H+ transporting V1 subunit C1 |
|
Synonyms: |
VATC; Vma5; ATP6C; ATP6D |
|
SwissProt: |
P21283 |
|
ELISA Recommended dilution: |
5000-10000 |
|
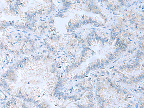
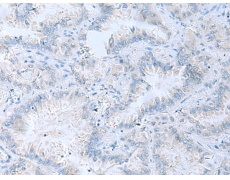
IHC positive control: |
Human liver cancer and Human lung cancer |
|
IHC Recommend dilution: |
100-200 |
|
WB Predicted band size: |
44 kDa |
|
WB Positive control: |
Human cerebella tissue and Human cerebrum tissue lysates |
|
WB Recommended dilution: |
500-2000 |



購物車
幫助
021-54845833/15800441009
