技術規格
Background:
The protein encoded by this gene is a member of the interleukin 1 receptor family. An experiment with transient gene expression demonstrated that this receptor was incapable of binding to interleukin 1 alpha and interleukin 1 beta with high affinity. This gene and four other interleukin 1 receptor family genes, including interleukin 1 receptor, type I (IL1R1), interleukin 1 receptor, type II (IL1R2), interleukin 1 receptor-like 1 (IL1RL1), and interleukin 18 receptor 1 (IL18R1), form a cytokine receptor gene cluster in a region mapped to chromosome 2q12. [provided by RefSeq, Jul 2008]
Applications:
ELISA, WB, IHC
Name of antibody:
IL1RL2
Immunogen:
Fusion protein of human IL1RL2
Full name:
interleukin 1 receptor like 2
Synonyms:
IL-36R; IL1RRP2; IL-1Rrp2; IL1R-rp2
SwissProt:
Q9HB29
ELISA Recommended dilution:
5000-10000
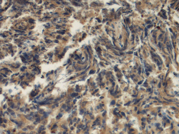
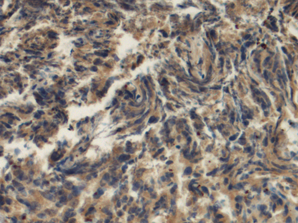
IHC positive control:
Human prostate cancer and Human ovarian cancer
IHC Recommend dilution:
100-300
WB Predicted band size:
65 kDa
WB Positive control:
K562 cell lysate
WB Recommended dilution:
500-2000



購物車
幫助
021-54845833/15800441009
